Trusted Local Dentist in Woodburn

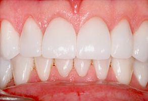
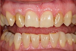
Dentistry Before and After Photos

before

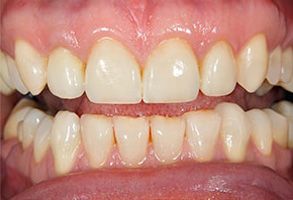
Before

after

After

Woodburn Family Dentistry | Crowns  amp  Caps, Sleep Apnea and Veneers

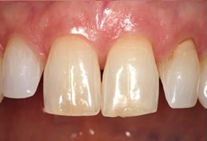
Before

Woodburn Family Dentistry | Dental Fillings, Invisalign reg  and Extractions

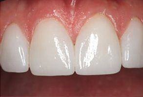
After

Woodburn Family Dentistry | Dentures, Periodontal Treatment and Dental Sealants

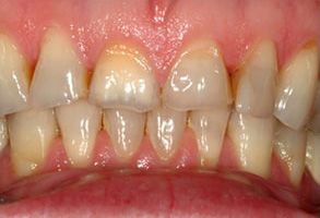
Before

Woodburn Family Dentistry | Dental Sealants, Digital Radiography and Cosmetic Dentistry

After

Woodburn Family Dentistry | Crowns  amp  Caps, Dental Fillings and Sedation Dentistry

Before

Woodburn Family Dentistry | Oral Cancer Screening, Sedation Dentistry and Dental Bridges

After

Woodburn Family Dentistry | Preventative Program, Dental Sealants and TMJ Disorders

Before

Woodburn Family Dentistry | Dentures, Ceramic Crowns and Root Canals

After

Woodburn Family Dentistry | Root Canals, Dental Cleanings and Preventative Program

Before

Woodburn Family Dentistry | Ceramic Crowns, Digital Radiography and Night Guards

After

Woodburn Family Dentistry | Snoring Appliances, Periodontal Treatment and Root Canals

Before

Woodburn Family Dentistry | Dental Bridges, Implant Restorations and Sedation Dentistry

After